Review – US diaphragm

ULTRASOUND ASSESSMENT OF THE DIAPHRAGM


Topic number 0.1
: Course description – on front plage of USabcd course overview

Welcome to this e-learning course on Ultrasound Assessment of the Diaphragm

This module is designed to give you a focused, clinically relevant, and practical understanding of how to use point-of-care ultrasound (PoCUS) to assess diaphragmatic function β€” especially in the context of anesthesia and critical care.

Throughout the course, you will learn how to:

  • Recognize key anatomical features of the diaphragm relevant to ultrasound
  • Apply PoCUS techniques to assess diaphragm movement and function
  • Interpret findings in different clinical scenarios
  • Use diaphragm ultrasound to support medical decisions in the perioperative and critical care setting

Whether you are dealing with respiratory distress, planning a regional block, or evaluating extubation readiness, this course will help you integrate diaphragm ultrasound into your clinical decision-making.

🎯 Learning Objectives


By the end of this course, you will be able to:

  • Understand the anatomy and function of the diaphragm relevant to ultrasound imaging
  • Identify key clinical indications for performing diaphragm ultrasound
  • Perform image acquisition using appropriate probe selection and patient positioning
  • Distinguish between normal, reduced, and paradoxical diaphragmatic motion
  • Calculate and interpret diaphragmatic thickening fraction (TF)
  • Assess diaphragmatic excursion using multiple scanning techniques
  • Apply ultrasound findings to guide clinical decision-making in anesthesia and critical care
  • Recognize diaphragm dysfunction following brachial plexus block and in critically ill patients

Topic number 1
: Introduction to Diaphragm Ultrasound

Welcome to this e-learning course on Ultrasound Assessment of the Diaphragm

This module is designed to give you a focused, clinically relevant, and practical understanding of how to use point-of-care ultrasound (PoCUS) to assess diaphragmatic function β€” especially in the context of anesthesia and critical care.

Throughout the course, you will learn how to:

  • Recognize key anatomical features of the diaphragm relevant to ultrasound
  • Apply PoCUS techniques to assess diaphragm movement and function
  • Interpret findings in different clinical scenarios
  • Use diaphragm ultrasound to support medical decisions in the perioperative and critical care setting

Whether you are dealing with respiratory distress, planning a regional block, or evaluating extubation readiness, this course will help you integrate diaphragm ultrasound into your clinical decision-making.

🎯 Learning Objectives

By the end of this course, you will be able to:

  • Understand the anatomy and function of the diaphragm relevant to ultrasound imaging
  • Identify key clinical indications for performing diaphragm ultrasound
  • Perform image acquisition using appropriate probe selection and patient positioning
  • Distinguish between normal, reduced, and paradoxical diaphragmatic motion
  • Calculate and interpret diaphragmatic thickening fraction (TF)
  • Assess diaphragmatic excursion using multiple scanning techniques
  • Apply ultrasound findings to guide clinical decision-making in anesthesia and critical care
  • Recognize diaphragm dysfunction following brachial plexus block and in critically ill patients

Topic number 2
: The I-AIM Framework in PoCUS Education

At USabcd, we have chosen the I-AIM framework as the foundation for all Point-of-Care Ultrasound (PoCUS) education.

I-AIM β€” which stands for Indication (I), Acquisition (A), Interpretation (I), and Medical Decision-making (M) β€” is more than a clinical guide. It is an educational pathway that structures learning in a natural progression, where each element builds upon the last. This makes it easier for both educators and learners to stay aligned throughout the course.

By dividing the content into clear, logical blocks, I-AIM supports:

  • Structured planning of teaching sessions
  • Step-by-step development of learner skills
  • Clear connection between theoretical knowledge and hands-on practice

It brings structure, consistency, and shared understanding to PoCUS education.

πŸ”Ή In this diaphragm course, the four I-AIM elements are:

Indication (I) – When and why to use diaphragm ultrasound.
Common clinical scenarios include respiratory failure of unknown cause, extubation assessment in the ICU, and evaluation after brachial plexus block.

Acquisition (A) – How to obtain accurate images.
This includes patient positioning, probe selection, and the use of three scanning techniques:

  • 1- Excursion of the Dome of the Diaphragm (DOD)
  • 2- Thickening fraction (TF) of the Zone of Apposition
  • 3- Excursion of the Zone of Apposition

Interpretation (I) – What the ultrasound findings mean.
Learn to distinguish between normal diaphragmatic motion, dysfunction (paresis), and paralysis (plegia), based on movement patterns, excursion, and thickening fraction.

Medical Decision-making (M) – How to act on the findings.
Integrate diaphragm ultrasound results into clinical decisions, including extubation timing, ventilatory support, anesthesia planning, and post-block evaluation.


Topic number 3
: Former Ultrasound Experience and Disclaimer Acceptance

Before diving deep, we’d like to know a bit more about your prior experience with ultrasound. This will help us tailor the course experience for you.

You must fill in the fields marked with the *. The others are optional.

a form with questiosn will be inserted in the final version of the course


Topic number 4
: Acknowledgements

This course is the result of the dedicated work, clinical insight, and educational passion of the following contributors:

Laura GirΓ³n Arango, MD
Assistant Professor, Department of Anesthesiology and Pain Medicine, University of Toronto
Staff Anesthesiologist, Department of Anesthesia and Pain Management, Toronto Western Hospital, UHN

Lead author and clinical developer of this course.
Seung Cheol Kim, MD
Consultant in Anesthesia and Pain Medicine, University Health Network
Regional Fellow at Toronto Western Hospital

Co-author and contributor to clinical content and case development.
Carlos GuzmΓ‘n
Graphic Designer & Illustrator, Toronto – Canada
Responsible for visual design and custom illustrations that support clarity and engagement in the learning process.

About USABCD’s Role

At USABCD, we are proud to support and amplify the work of passionate educators like Dr. GirΓ³n Arango and her team. Our platform serves as a practical and flexible environment to bring high-quality ultrasound education to learners across the globe.

Lars Knudsen, from USABCD, has contributed in a supporting role – helping to translate ideas into a structured and accessible e-learning format. Drawing on his background in point-of-care ultrasound education, his involvement has primarily been to assist with shaping the course in a way that supports practical, real-world learning. He sees his contribution as part of a quiet collaboration – helping others bring their vision to life.

USABCD does not claim ownership of the ideas or intellectual property behind this course. We simply provide the tools, structure, and support to bring excellent content to life – in a way that is accessible, clinically meaningful, and learner-friendly.

We believe that collaboration across institutions and continents is the key to progress. This course is a beautiful example of that belief in action.



Topic number 5
: Anatomy of the Diaphragm – Part 1: Key Anatomical Features

The diaphragm is a dome-shaped fibromuscular structure that separates the thoracic cavity (lungs and heart) from the abdominal cavity (liver, stomach, intestines). It plays a central role in both breathing and core stability.

πŸ”Ή Key Anatomical Features

  • Central tendon
    A fibrous, non-contractile center where muscle fibers insert. Acts as a stable anchor for diaphragmatic contraction.
  • Peripheral skeletal muscle
    Contracts during inspiration, causing downward motion of the diaphragm. Relaxes to return to its resting dome shape.
  • Innervation
    The diaphragm is innervated by the phrenic nerve, arising from cervical spinal roots C3–C5. Mnemonic: β€œC3, 4, 5 keeps the diaphragm alive.”
  • Attachments
    • Laterally: lower six ribs
    • Posteriorly: lumbar vertebrae via crura
    • Anteriorly: xiphoid process
  • Blood supply
    Mainly through the inferior phrenic arteries, with additional supply from intercostal and internal thoracic arteries.
Image missing
Fig. 1. The four functional regions of the diaphragm: (1, 4) the right and left appositional areas, and (2, 3) the right and left hemidomes. The illustration shows the diaphragm in its resting dome-shaped position beneath the lungs.
Image missing
Fig. 2. Diaphragmatic motion during the respiratory cycle.
Left: During inspiration, the peripheral skeletal muscle (blue) contracts, becoming shorter and thicker. This pulls the central tendon (green) downward, flattening the diaphragm and expanding the thoracic cavity.
Right: During expiration, the muscle relaxes, becoming longer and thinner, allowing the diaphragm to return to its dome shape. The central tendon moves upward passively. The diaphragm is anchored peripherally to the thoracic wall, which provides a stable base for muscle action.
Reproduced with permission of Giron Arango Medicine Professional Corporation.

Topic number 6
: Anatomy of the Diaphragm – Part 2: Two Anatomical Zones

From both an anatomical and functional perspective, the diaphragm can be divided into two main regions:

πŸ”Ή Dome of the Diaphragm

  • The central tendon portion
  • Separates thoracic and abdominal cavities
  • Lined on the thoracic side by parietal pleura
  • Plays a key role in vertical lung expansion during inspiration
  • Follows Boyle’s Law: as thoracic volume increases, pressure decreases, allowing air to enter the lungs

πŸ”Ή Zone of Apposition (ZOA)

  • The muscular part of the diaphragm adjacent to the lower rib cage
  • Typically corresponds to ribs T7–T12
  • This zone is where the diaphragm is in contact with the internal chest wall
  • Key area for ultrasound assessment β€” both for thickening fraction and excursion
Image missing
Excursion and thickening fraction of Zone of Apposition

Topic number 7
: Function of the Diaphragm – Part 1: Core Functions and Dual Control

The diaphragm is the main muscle of inspiration, generating 70–80% of tidal volume during quiet breathing. But its importance extends beyond respiration alone.

πŸ”Ή Core Functions

  • Ventilation: Generates negative intrathoracic pressure by descending during contraction.
  • Intra-abdominal pressure regulation: Supports physiological actions like vomiting, defecation, urination, and childbirth.
  • Structural and postural support: Helps stabilize abdominal organs and contributes to upright posture and core strength.

πŸ”Ή Dual Control Mechanism

  • Involuntary control: Managed by brainstem respiratory centers β€” supports automatic breathing.
  • Voluntary control: Regulated by the motor cortex β€” allows for conscious control during breath holding, speech, singing, and postural adjustments.

This combination of voluntary and involuntary control makes the diaphragm unique among skeletal muscles.


Topic number 8
: Function of the Diaphragm – Part 2: Functional Compensation in Pathology

When the diaphragm is weakened or paralyzed, the body attempts to maintain breathing through compensatory mechanisms β€” but these are often less effective.

πŸ”Ή Paresis or Paralysis

  • May result from phrenic nerve injury, regional anesthesia, or neuromuscular disorders.
  • The affected hemidiaphragm may move paradoxically upward due to unopposed intra-abdominal pressure during inspiration.
  • This reduces lung expansion and impairs ventilation on the affected side.

πŸ”Ή Compensation by Other Muscles

  • Intercostal and accessory muscles (e.g., scalene and sternocleidomastoid) assist in chest wall expansion.
  • The contralateral hemidiaphragm may partially compensate in healthy individuals.
  • In compromised patients (e.g., ICU or post-op), these mechanisms may be insufficient.

Diaphragm ultrasound can help detect these dysfunctions early and guide supportive interventions.


Topic number 9
: Indications (I)

Diaphragm ultrasound is a valuable PoCUS tool for both perioperative and critical care settings. The I-AIM framework begins with understanding why and when this tool should be applied.

It offers particular advantages in settings where conventional imaging or functional tests are limited by invasiveness, patient effort, or poor specificity.

POCUS assessment of the diaphragm is indicated in the following clinical contexts:

Perioperative Intensive Care Unit
Dyspnea of unknown cause Difficult weaning
Assessment of diaphragmatic function pre and post-brachial plexus block Estimating work of breathing
Assessment in chronic diseases (COPD, obesity, neuromuscular diseases) Assess Ventilator-Induced Diaphragmatic Dysfunction (VIDD)
Titration of ventilatory support

–>

πŸ”Ή Perioperative Indications

Dyspnea of unknown cause
Assessment of diaphragmatic function pre and post-brachial plexus block
Assessment in chronic diseases (COPD, obesity, neuromuscular diseases)

πŸ”Ή Intensive Care Unit Indications

Difficult weaning
Estimating work of breathing
Assess Ventilator-Induced Diaphragmatic Dysfunction (VIDD)
Titration of ventilatory support

Topic number 10
: POCUS vs. Traditional Modalities for Assessing Diaphragm Function

In addition to its clinical versatility, point-of-care ultrasound (PoCUS) offers significant diagnostic advantages compared to traditional modalities used to evaluate diaphragmatic function.

Modality Limitations POCUS Advantages
Chest X-ray Radiation exposure, static imaging, poor specificity* Real-time, dynamic, side-specific motion assessment; radiation-free, portable, inexpensive; high sensitivity and specificity* for diaphragmatic dysfunction
Transdiaphragmatic pressure (Pdi) Invasive, requires esophageal/gastric balloons Non-invasive, repeatable, enables serial bedside assessment
Electromyography (EMG) Technically demanding, poor spatial resolution Visual, anatomical, and functional evaluation of diaphragmatic activity
Pulmonary Function Tests (PFTs) Late dysfunction detection, cannot localize weakness, time consuming, patient effort dependent Detects early dysfunction, differentiates between sides

Table 1. Comparison of traditional modalities and point-of-care ultrasound (PoCUS) for assessing diaphragmatic function.


Topic number 11
: Acquisition – Overview of Diaphragm Ultrasound Techniques

The acquisition step in the I-AIM framework focuses on how to obtain high-quality ultrasound images that allow reliable assessment of diaphragmatic function.

In this course, we will focus on three core methods of diaphragm ultrasound acquisition. Each method provides a slightly different view of diaphragm function and may be preferred depending on the clinical setting:

  • Dome of the Diaphragm (DOD)
    Measures the vertical excursion of the diaphragm using M-mode via a curvilinear probe. Often performed through the liver or spleen acoustic window. Useful for assessing gross movement during breathing.
  • Thickening Fraction (TF)
    Assesses diaphragm muscle contraction by measuring the change in thickness of the Zone of Apposition (ZOA) using a high-frequency linear probe. Especially valuable in mechanically ventilated patients.
  • Excursion of the Zone of Apposition (ZOA)
    Evaluates diaphragm movement by tracking the position of the uppermost point of the ZOA across inspiration and expiration. This method is novel, visual, and easy to perform on both sides of the thorax.

Each technique will be described in detail in the following sections, including probe choice, patient positioning, and measurement tips.


Topic number 12
: – Dome of the Diaphragm (DOD)

The Dome of the Diaphragm (DOD) method measures the vertical excursion of the diaphragm during respiration using M-mode ultrasound. It is a well-established and widely used technique that offers clear insight into diaphragm mobility.

πŸ”Ή Probe

Curvilinear probe (low frequency, 3.5–5 MHz)

πŸ”Ή Patient Position

Semi-recumbent position is recommended for optimal imaging.

πŸ”Ή Probe Placement

  • Right side: Place the probe just below the costal margin, in a longitudinal parasagittal orientation between the midclavicular and anterior axillary lines.
  • Left side: Place the probe more posteriorly, between the mid and posterior axillary lines.

πŸ”Ή Image Acquisition

Angle the probe medially, cephalad, and slightly posteriorly to visualize the posterior third of the hemidiaphragm using the liver (right) or spleen (left) as an acoustic window.

Once the curved, hyperechoic diaphragmatic line is seen, switch to M-mode to measure excursion. The vertical distance from end-expiration to end-inspiration reflects diaphragmatic motion.

πŸ”Ή Tips for Visualizing the Left Hemidiaphragm

Visualization is more challenging on the left due to a smaller acoustic window and the presence of gas in the stomach. To improve the view:

  • Move the probe closer to the posterior axillary line
  • Rotate the probe clockwise to 1 or 2 o’clock

πŸ“ Clinical Considerations

  • DOD is ideal for assessing and is commonly used in cooperative, spontaneously breathing patients.
  • It may underestimate active contraction in mechanically ventilated patients due to passive movement from ventilator pressure.

Topic number 13
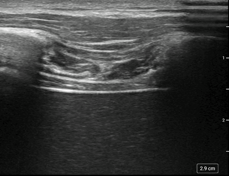
: – Thickening Fraction (TF) of the Zone of Apposition (ZOA)

The Thickening Fraction (TF) method evaluates the contractile activity of the diaphragm by measuring its thickness during the respiratory cycle. It is particularly useful in critically ill or mechanically ventilated patients where excursion alone may be misleading.

πŸ”Ή Probe

Linear probe (high frequency, 8–18 MHz)

πŸ”Ή Patient Position

Upright or semi-recumbent position is ideal for optimal image quality.

πŸ”Ή Probe Placement

Place the probe in a coronal plane between the 7th and 9th intercostal spaces, between the anterior and midaxillary lines.

πŸ”Ή Image Acquisition

The diaphragm appears as a three-layered structure just below the chest wall:

  • A dark (non-echogenic) muscular layer
  • Sandwiched between two bright echogenic membranes:
    • Pleura (anterior)
    • Peritoneum (posterior)

Measure the thickness of the diaphragm at the end of expiration and again at the end of inspiration (preferably during a vital capacity maneuver).

πŸ”’ Calculation

Thickening Fraction (TF) =
(Thickness at end-inspiration βˆ’ Thickness at end-expiration) / Thickness at end-expiration Γ— 100

πŸ“ Clinical Considerations

  • TF is especially useful in patients on mechanical ventilation, where passive motion can mimic active excursion.
  • TF provides a direct assessment of diaphragm muscle activity and contractility.
  • TF less than 20% suggests dysfunction; close to 0% suggests paralysis.
Image missing
Image missing

Topic number 14
: – Excursion of the Zone of Apposition (ZOA)

This novel technique assesses diaphragmatic motion by tracking the uppermost point of the Zone of Apposition (ZOA) during respiration. It provides a simple, visual method for evaluating diaphragm activity β€” especially useful in bedside and post-block evaluations.

πŸ”Ή Probe

Linear probe (high frequency, 8–18 MHz)

πŸ”Ή Patient Position

Upright or semi-recumbent position is preferred.

πŸ”Ή Probe Placement

Place the probe in a coronal plane between the 7th and 9th intercostal spaces, between the anterior and midaxillary lines.

πŸ”Ή Image Acquisition

  • Identify the uppermost point of the ZOA β€” where the diaphragm meets the lung, just below the rib line.
  • Observe this point during quiet breathing and note its movement between end-expiration and end-inspiration.
  • Use a skin marker to mark the diaphragm’s position at both phases of respiration.
  • Measure the distance between the two marks in centimeters to determine excursion.

πŸ“ Clinical Considerations

  • This method is simple and repeatable, making it ideal for bedside monitoring.
  • It has been shown to work reliably on both hemidiaphragms, even after regional blocks (e.g., brachial plexus block).
  • It does not require advanced image interpretation and is highly intuitive for learners.

Topic number 15
: Interpretation – Overview of Diaphragm Function

The Interpretation step in the I-AIM framework focuses on understanding what the ultrasound findings mean in terms of diaphragm function. This can be done either qualitatively (observing movement patterns) or quantitatively (measuring excursion or thickening).

πŸ”Ή Three Functional States of the Diaphragm

  • βœ… Normal Function: Expected movement or thickening during inspiration, with values within the normal range for the technique used.
  • ⚠️ Reduced Function (Paresis): Movement or thickening is present but significantly decreased β€” the diaphragm is active but impaired.
  • ❌ Paralysis (Plegia): Minimal or no active movement. May even show paradoxical upward motion due to unopposed intra-abdominal pressure.

🧠 Technique Matters

Each scanning technique has specific interpretation thresholds. The next topics explain how to interpret findings for:

  • Dome of the Diaphragm (DOD)
  • Thickening Fraction (TF)
  • Excursion of the Zone of Apposition (ZOA)

πŸ’‘ Clinical Note

Always interpret findings in the clinical context. For example, reduced excursion in a sedated or ventilated patient may reflect decreased effort β€” not dysfunction.


Topic number 16
: – Dome of the Diaphragm (DOD)

NEW VERSION – old version below

πŸ”Ή Technique Recap

  • Use M-mode ultrasound to measure the vertical movement (excursion) of the diaphragm dome during breathing.
  • Place the probe subcostally in a parasagittal orientation β€” through the liver (right) or spleen (left).
  • Align the M-mode cursor perpendicular to the diaphragm curve and measure excursion in centimeters.

πŸ”Ή Interpretation Guidelines

  • βœ… Normal Function:
    • Quiet breathing: >1 cm
    • Deep inspiration: >3 cm in women, >4 cm in men (rounded values; see note below)
    • Sniff test: >1.5 cm
  • ⚠️ Reduced Function (Paresis):
    • Excursion <1 cm during quiet breathing
    • Reduced excursion: <3 cm in women, <4 cm in men during deep inspiration
    • Shallower M-mode curve
  • ❌ Paralysis (Plegia):
    • Paradoxical upward motion during inspiration
    • Flat or reversed deflection on M-mode

πŸ“ Note on Normal Values

Excursion values may vary slightly across studies. Boussuges et al. report average excursion of 37 mm for women and 47 mm for men during deep inspiration. Using rounded thresholds of 3 cm and 4 cm provides a practical and easy-to-remember reference for clinical use.

πŸ’‘ Tips for Interpretation

  • The right hemidiaphragm is easier to visualize via the liver window.
  • The left side may require more posterior angulation due to stomach gas.
  • Paradoxical motion is best seen during sniff maneuvers in spontaneously breathing patients.

OLD VERSION

πŸ”Ή Technique Recap

  • Use M-mode ultrasound to measure the vertical movement (excursion) of the diaphragm dome during breathing.
  • Place the probe subcostally in a parasagittal orientation β€” through the liver (right) or spleen (left).
  • Align M-mode cursor perpendicular to the diaphragm curve and measure excursion in centimeters.

πŸ”Ή Interpretation Guidelines

  • βœ… Normal Function:
    • Quiet breathing: >1 cm
    • Deep inspiration: >3–4 cm
    • Sniff test: >1.5 cm
  • ⚠️ Reduced Function (Paresis):
    • Excursion <1 cm during quiet breathing
    • Shallower M-mode curve
  • ❌ Paralysis (Plegia):
    • Paradoxical upward motion (inspiration)
    • Flat or reversed deflection on M-mode

πŸ’‘ Tips for Interpretation

  • Right hemidiaphragm is easier to visualize via the liver window.
  • Left side may require more posterior angulation due to stomach gas.
  • Paradoxical motion is best seen during sniff maneuvers in spontaneously breathing patients.

Topic number 17
: – Thickening Fraction (TF) of the Zone of Apposition (ZOA)

πŸ”Ή Technique Recap

  • TF reflects active diaphragm contraction during inspiration.
  • Use a high-frequency linear probe to measure diaphragm thickness at end-inspiration and end-expiration.
  • Locate the diaphragm in the Zone of Apposition (7th–9th intercostal space, anterior to mid-axillary line).
  • The diaphragm appears as:
    • A hypoechoic muscle layer
    • Bordered by echogenic pleural and peritoneal lines

πŸ”Ή Formula

TF = [(Thickness at Inspiration – Thickness at Expiration) / Thickness at Expiration] Γ— 100

πŸ”Ή Interpretation Guidelines

  • βœ… Normal Function: TF > 20–30% – Indicates normal contractility.
  • ⚠️ Dysfunction (Paresis): TF < 20% – Suggests impaired contraction.
  • ❌ Paralysis (Plegia): Minimal or absent thickening during inspiration – Indicates lack of muscle activity.

🧠 Tip

  • TF is especially useful in mechanically ventilated patients, where excursion may be influenced by passive movement.

Topic number 18
: – Excursion of the Zone of Apposition (ZOA)

πŸ”Ή Technique Recap

  • Assesses diaphragm function by measuring the visible displacement of the ZOA’s uppermost point during respiration.
  • Use a high-frequency linear probe, placed in the coronal plane between the 7th–9th intercostal spaces.
  • Mark the skin position at end-inspiration and end-expiration.
  • The distance between the two skin marks reflects diaphragmatic excursion.

πŸ”Ή Interpretation Guidelines

  • βœ… Normal Function: Clear downward movement with inspiration – Indicates active contraction.
  • ⚠️ Dysfunction (Paresis): Reduced downward movement – Suggests weakened activity.
  • ❌ Paralysis (Plegia): Absent or paradoxical upward motion – Strongly suggests diaphragm paralysis.

πŸ’‘ Note

  • This method is simple and intuitive β€” especially helpful for bedside evaluations and in post-regional anesthesia cases.
  • It does not require M-mode or complex measurements and works reliably on both hemidiaphragms.
  • In cases where hemidiaphragmatic paralysis is suspected and no baseline measurement was obtained, consider comparing diaphragmatic excursion to the contralateral side to identify asymmetry suggestive of dysfunction.

Topic number 19
: – Summary and Clinical Integration

πŸ”Ή Three Core Methods – One Common Goal

We’ve explored three ultrasound-based techniques to evaluate diaphragm function:

  • Dome of the Diaphragm (DOD) – Measures vertical excursion with M-mode
  • Thickening Fraction (TF) – Quantifies muscular contraction in the ZOA
  • Excursion of the ZOA – Tracks visible surface movement with skin markers

Each method offers a different lens, and together they provide a comprehensive view of diaphragm performance.

πŸ”Ή Three Functional States

Function Description Ultrasound Clues
βœ… Normal Active, coordinated contraction Good excursion (>1 cm), TF >20–30%, visible caudal ZOA motion
⚠️ Dysfunction Reduced strength or delayed activation Low excursion (<1 cm), TF <20%, decreased visible movement
❌ Paralysis No activation or paradoxical movement Absent or reversed motion, flat M-mode, no TF or ZOA shift

πŸ”Ή Integrating Findings into Clinical Care

Diaphragm ultrasound interpretation becomes clinically powerful when it supports real-time decisions:

  • 🫁 ICU extubation: Confirm diaphragm readiness
  • πŸ’‰ Regional anesthesia: Assess phrenic nerve involvement
  • 🩺 Respiratory failure: Identify underlying dysfunction
  • πŸ›οΈ Perioperative management: Optimize ventilation and minimize risk

βœ… Tip: Use the most feasible method for your setting. Combining approaches increases diagnostic confidence.


Topic number 20
: Medical Decision-Making – Acting on Diaphragm Ultrasound Findings

NOTE for Laura and co-authors: This section might be split into two or more topics later for better structure and digestibility. Let’s keep that in mind as we refine the material.

Once diaphragm function has been assessed and interpreted, the next step is applying these findings to inform clinical care. Diaphragm ultrasound enables real-time, physiology-based decisions that impact patient outcomes β€” particularly in anesthesia, critical care, and perioperative medicine.

πŸ”Ή Key Clinical Applications

Clinical Context How Diaphragm Ultrasound Helps
🫁 Weaning from ventilation Assesses diaphragm strength and excludes paralysis prior to extubation
πŸ›Œ Postoperative recovery Identifies impairment due to surgical stress, nerve blocks, or sedation
πŸ’‰ Brachial plexus block Detects inadvertent phrenic nerve involvement through side-specific motion
🧠 Neuromuscular diseases Monitors diaphragm function in chronic or acute disease states
πŸ”„ Paradoxical breathing Differentiates true paralysis from compensatory respiratory patterns

πŸ”Ή Sample Scenarios

  • Extubation Planning: Diaphragm excursion >1 cm and TF >30% β†’ Supports extubation readiness
  • Post-block Assessment: Absent right hemidiaphragm motion after brachial plexus block β†’ Adjust technique for next time
  • Respiratory Failure: Bilateral dysfunction on ultrasound β†’ Consider non-invasive ventilation or further diagnostics

πŸ”Ή Key Takeaway

🧠 Diaphragm ultrasound bridges anatomy, physiology, and action. You now have the tools to go from observing a problem β€” to understanding it β€” to making patient-centered decisions that matter.


Topic number 21
: Self-Evaluation – Reflect on Your Learning

NOTE for Laura and co-authors: This section is not yet finalized. The questions will later be placed in an interactive form format, allowing the learner to actively respond. This ensures the self-evaluation truly serves its purpose β€” helping learners reflect on whether they have understood the course content.

This brief self-assessment helps you reflect on what you’ve learned and gauge your readiness to apply diaphragm ultrasound in clinical practice. It’s for personal insight β€” answer honestly and use it to guide your next steps.

πŸ”Ή Understanding and Concepts

  • βœ… I understand what diaphragm ultrasound is and when to use it.
  • βœ… I can explain the difference between the dome and the zone of apposition.
  • βœ… I am aware of key anatomical and functional aspects of the diaphragm.

πŸ”Ή Technical Acquisition

  • βœ… I know how to position the patient and select the right probe.
  • βœ… I can describe the three core scanning techniques:
    • Dome of Diaphragm (DOD)
    • Thickening Fraction (TF)
    • Excursion of the ZOA
  • βœ… I understand the differences in acquisition strategy for right vs. left hemidiaphragm.

πŸ”Ή Interpretation and Findings

  • βœ… I can distinguish between normal, reduced, and absent diaphragmatic function.
  • βœ… I know how to calculate and interpret the Thickening Fraction (TF).
  • βœ… I can recognize paradoxical motion and understand its clinical implications.

πŸ”Ή Clinical Application

  • βœ… I know how to apply diaphragm ultrasound to:
    • Extubation planning
    • Block assessment
    • Diagnosis of respiratory dysfunction
  • βœ… I feel ready to use diaphragm ultrasound findings in real clinical decision-making.

🎯 Final Note

If you answered “yes” to most or all of the above β€” you’re ready to move on to practical application, case-based learning, or certification.

❗If you’re unsure about any point, revisit the relevant topics in the course. A strong foundation will make your practice more effective and your decisions more confident.