Reduced left ventricular function


Focused Question: Are There Signs of Reduced Left Ventricular Function?

Ultrasound plays a key role in assessing left ventricular (LV) function, which is crucial in diagnosing heart failure. In patients with reduced LV function, the heart’s ability to pump blood effectively is compromised. Key ultrasound findings include poor wall motion, abnormal ventricular size, and reduced overall contraction.

For PoCUS users, the focus is on recognizing reduced or severely reduced LV function rather than specific measurements like ejection fraction, valve pathology, or other detailed assessments. Learning to recognize these patterns can be challenging and requires more training than other aspects of heart evaluation. This skill is developed through pattern recognition rather than precise measurements, and it is best learned by repeatedly examining and comparing ultrasound clips of both normal and reduced LV function. This qualitative visual method is known as EYEBALLING, and it is the recommended approach for PoCUS users when evaluating left ventricular function.

While cardiologists often rely on precise measurements, PoCUS practitioners can start with this simpler approach, focusing on eyeballing by observing overall heart chamber function across different views. This allows practitioners to classify LV function as normalreduced, or severely reduced.

Key Parameters for Eyeballing Left Ventricular Function:

  • Reduced myocardial contraction and thickening of the left ventricular wall. There is less endocardial movement toward the center of the ventricle during systole, with less difference between the end-diastolic and end-systolic volume. The left ventricle often appears dilated, indicating poor contraction.
  • Longitudinal contraction of the ventricle: Evaluated in the apical 4-chamber (A4CH) view, it refers to the displacement of the mitral valve plane during systole, known as Mitral Annular Plane Systolic Excursion (MAPSE). MAPSE reflects left ventricular longitudinal contraction or shortening and accounts for approximately 60% of the stroke volume.
  • Movement of the mitral valve leaflets.

The stroke volume may still be normal, but it is generated by a dilated ventricle with higher wall tension and increased oxygen consumption, which stresses the heart more than normal functioning.

Tips for Beginners:

  • Combine these observations into a single estimation of LV function: normalreduced, or severely reduced.
  • In cases where image quality or visualization is poor, make the best estimation possible from the available views and parameters.

Learning to consistently recognize these patterns takes time and practice. The clips below demonstrate various examples of reduced LV function to aid in the learning process.


PSAX

EEU case image missing

Normal Left Ventricular Function in PSAX View: Ultrasound clip demonstrating myocardial contraction, thickening, and endocardial movement toward the center of the ventricle during systole, with good reduction in left ventricular volume. The left clip shows a raw PSAX view of a normal heart, while the right clip features a blue overlay highlighting the key details of myocardial contraction and thickening. The blue ring thickens as the left ventricle contracts, indicating good function and output. In this view, longitudinal function and mitral valve movement cannot be assessed.

PSAX

EEU case image missing

Comparison of Normal and Reduced Left Ventricular Function in PSAX View: Ultrasound clip showing five PSAX views. The clip in the middle demonstrates normal left ventricular function with good myocardial contraction and thickening. The four surrounding clips show reduced function, with diminished myocardial thickening, less endocardial movement, and poor reduction in left ventricular volume during systole, indicating impaired function.

PSAX

EEU case image missing

PSAX View with Reduced Left Ventricular Function: Ultrasound clip showing a single PSAX view with reduced left ventricular function. Contraction is limited to the muscle in the upper and right part of the image, roughly from 12 o’clock to 6 o’clock, while the remaining myocardium shows little to no contraction, indicating impaired function.

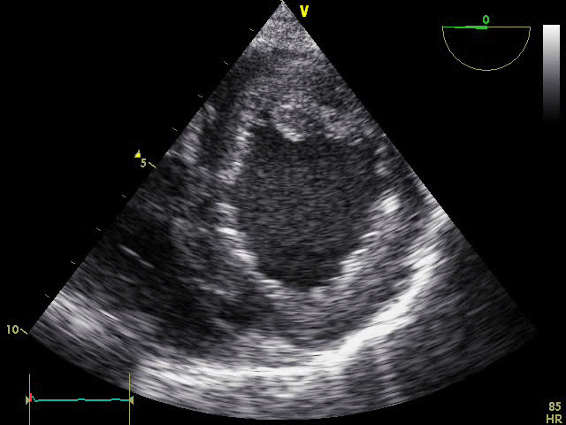
A4CH

EEU case image missing

Normal A4CH View Demonstrating Key Parameters for Eyeballing Left Ventricular Function: Ultrasound clip with three views demonstrating all key parameters for assessing left ventricular function in the apical 4-chamber (A4CH) view, each with color overlays for clarity. – Upper left (blue overlay): Demonstrates normal myocardial contraction and thickening of the left ventricular wall. – Upper right (red overlay): Shows normal movement of the mitral valve leaflets, both anterior (against the septum) and posterior (against the left ventricular wall), with the mitral leaflet opening fully and nearly reaching the ventricular wall during systole. – Bottom (green overlay): Illustrates normal longitudinal contraction of the ventricle (MAPSE), showing the displacement of the mitral valve plane during systole.

A4CH

EEU case image missing

Comparison of Normal and Severely Reduced Myocardial Contraction and Thickening in A4CH View: This clip compares normal and severely reduced left ventricular function in the apical 4-chamber (A4CH) view using a blue overlay to highlight myocardial contraction and thickening. – Upper row (normal): Demonstrates good myocardial contraction and thickening of the left ventricular wall. – Lower row (severely reduced): Shows minimal contraction and thickening, indicating severely impaired left ventricular function.

A4CH

EEU case image missing

Comparison of Normal and Severely Reduced Mitral Valve Leaflet Movement in A4CH View: This clip compares normal and severely reduced left ventricular function in the apical 4-chamber (A4CH) view using a red overlay to highlight mitral valve leaflet movement. – Upper row (normal): Demonstrates normal movement of the mitral valve leaflets, with the anterior leaflet (against the septum) and posterior leaflet (against the left ventricular wall) opening fully and nearly reaching the ventricular wall during systole. – Lower row (severely reduced): Shows significantly reduced opening of the mitral valve leaflets, with almost no movement, indicating severely impaired left ventricular function.

A4CH

EEU case image missing

Comparison of Normal and Severely Reduced Longitudinal Contraction (MAPSE) in A4CH View: This clip compares normal and severely reduced left ventricular function in the apical 4-chamber (A4CH) view using a green overlay to illustrate longitudinal contraction (MAPSE). – Upper row (normal): Shows normal longitudinal contraction of the ventricle, with good displacement of the mitral valve plane during systole (MAPSE). – Lower row (severely reduced): Demonstrates severely reduced longitudinal contraction, with minimal or no displacement of the mitral valve plane, indicating severely impaired left ventricular function.

SC

EEU case image missing

Subcostal View Demonstrating Key Parameters for Eyeballing Left Ventricular Function: This clip shows a comparison of a normal raw subcostal (SC) view on the left and a clip with color overlays on the right, demonstrating all key parameters for assessing left ventricular function. – Blue overlay: Highlights normal myocardial contraction and thickening of the left ventricular wall. – Red overlay: Shows normal movement of the mitral valve leaflets, both anterior and posterior, with the mitral leaflets opening fully and nearly reaching the ventricular wall during systole. – Green overlay: Illustrates normal longitudinal contraction (MAPSE), showing the displacement of the mitral valve plane during systole.

A4CH

EEU case image missing

A4CH View Comparing Normal and Severely Reduced Left Ventricular Function: This clip shows a comparison of left ventricular function in the apical 4-chamber (A4CH) view. – Top clip: Demonstrates normal left ventricular function with good myocardial contraction and movement. – Bottom clip: Shows severely reduced left ventricular function with minimal contraction and poor overall movement, indicating severe impairment.

SC

EEU case image missing

Subcostal View with Severely Reduced Left Ventricular Function: This clip demonstrates that left ventricular function can also be evaluated from the subcostal (SC) view. The very dilated left ventricle, almost no contraction, severely reduced movement of the mitral valve leaflets, and lack of longitudinal function make it clear that the heart is suffering heavily. Both the left and right atria are also dilated, indicating severe heart failure. With training, eyeballing here makes it obvious at first glance that the heart is in significant distress.