- The focused questions:
- Is a pericardial fluid collection present ?
- Are there signs of tamponade ?
- Facts
- Pericardial fluid collections can be visualized in all standard cardiac views. Look for an anechoic (black) border surrounding the heart, which indicates the presence of fluid. Compression of the right ventricle during diastole is a critical sign of tamponade, signaling increasing pressure on the heart. Hemodynamic instability may develop as the effusion increases, with possible signs of tamponade requiring prompt intervention.
- Signs of cardiac tamponade is:
- Diastolic collapse of Right atrium (RA)/ right ventricle (RV)
- Enlarged fixed IVC
- Small LV cavity
- Swinging heart
- Tips
- A pericardial fluid collection large enough to cause hemodynamic instability is often visible in the subcostal view, appearing between the liver and the right side of the heart closest to the transducer. Monitoring for right ventricular compression and progression to tamponade is essential, particularly in patients with clinical instability. Immediate drainage may be necessary if tamponade is identified.
Below is a collection of ultrasound clips showing pericardial effusion and signs of tamponade:
These clips demonstrate various findings, from moderate effusion with preserved cardiac function to severe tamponade requiring immediate drainage. The presence of pericardial effusion and its effect on right and left ventricular filling are key to diagnosing and managing these cases.
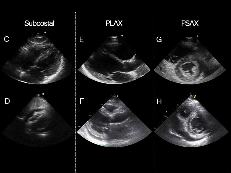
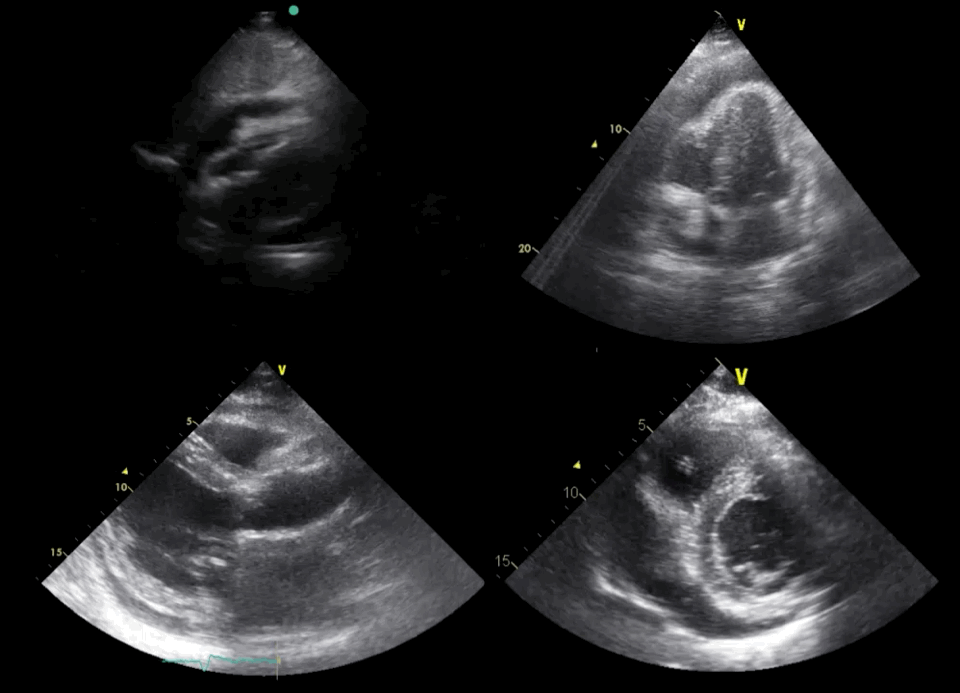
SC, A4CH, PLAX and PSAX views
All four standard cardiac views showing pericardial effusion: This clip presents all four standard cardiac views, each demonstrating pericardial effusion. The upper left shows the subcostal (SC) view, the upper right shows the apical 4-chamber (A4CH) view, the lower left shows the parasternal long-axis (PLAX) view, and the lower right shows the parasternal short-axis (PSAX) view. In all views, an anechoic (black) border is seen surrounding the heart, indicating the presence of a pericardial fluid collection.
SC, PLAX and PSAX views
Comparison of normal and pericardial effusion in three cardiac views: This clip consists of six views, comparing normal cardiac views (top row) with pericardial effusion (bottom row). The left column shows the subcostal (SC) view, the middle column shows the parasternal long-axis (PLAX) view, and the right column shows the parasternal short-axis (PSAX) view. In the lower row, the anechoic (black) border around the heart represents pericardial fluid, highlighting the difference between the normal and pathological findings.
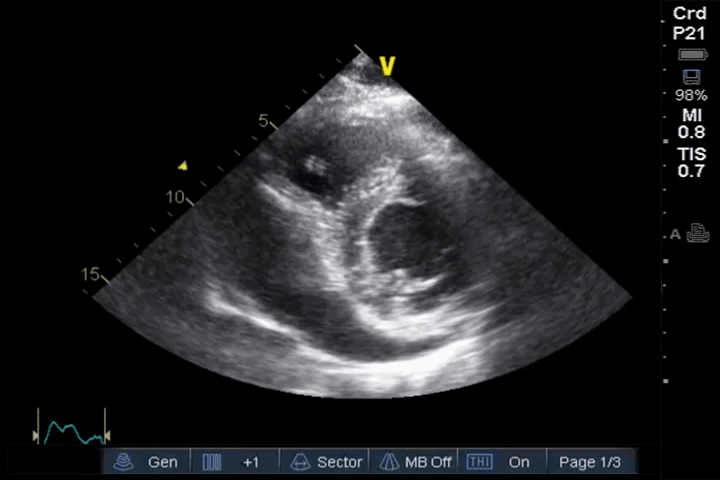
PSAX
PSAX view showing large effusion at the lower part of the heart with adequate contraction and filling: This PSAX view shows a large pericardial effusion at the lower part of the heart. Despite the presence of the effusion, the heart maintains a high rate but appears to contract and fill adequately. While the current function is preserved, monitoring is essential, and eventual intervention should be considered depending on the patient’s clinical condition.
A4CH
A4CH view showing pericardial effusion with preserved right ventricular filling: A4CH view demonstrates a pericardial effusion, but the right ventricle is still able to fill during diastole, indicating that tamponade is not yet present. The clip is from a patient who underwent laparoscopic surgery on the diaphragm, where a suture inadvertently caught the heart, causing bleeding and resulting in moderate hemodynamic instability. Despite the effusion, the preserved filling suggests that monitoring is essential, but immediate drainage may not be necessary unless the condition worsens.
A4CH
A4CH view showing progression to tamponade requiring drainage: A4CH view is from the same patient, recorded half an hour later. The patient is now in severe hemodynamic instability, with clear signs of tamponade. The right ventricle is no longer filling adequately during diastole, and the pericardial effusion has progressed to a critical point, necessitating immediate drainage to prevent further deterioration.
SC and PSAX and IVC
Multiple views showing large effusion with tamponade and fixed dilated IVC: This clip shows three different views. The upper left is a subcostal (SC) view, and the upper right is a parasternal short-axis (PSAX) view, both displaying a large pericardial effusion with signs of tamponade. The lower clip is an IVC view, with the base of the heart seen on the right and the IVC below the liver on the left. The IVC is fixed and dilated, showing no respiratory variation, which further confirms elevated central venous pressure and impending tamponade.
SC
SC view showing large pericardial effusion compromising right ventricular filling: This SC view displays a large pericardial effusion that is significantly compromising the filling of the right ventricle. The large anechoic (black) fluid collection around the heart is exerting pressure on the right side, limiting its ability to fill properly during diastole, which is a critical sign of approaching tamponade.
SC
SC view showing full tamponade with no right ventricular filling: This SC view shows a heart in full tamponade, with no visible filling of the right ventricle. The large pericardial effusion has completely compromised the heart’s function, especially on the right side, requiring immediate drainage for the patient to survive. This is an urgent, life-threatening finding that demands prompt intervention.
PLAX
PLAX view showing substantial pericardial effusion compromising left ventricular filling: This PLAX view demonstrates a substantial pericardial effusion that is compressing the left ventricle. The large fluid collection is limiting the filling of the left ventricle, which can lead to hemodynamic instability. This finding is concerning for tamponade and requires close monitoring and potential intervention.
PLAX

PSAX view showing large pericardial effusion with compromised cardiac filling: This PSAX view shows a massive pericardial effusion, with the heart appearing to float and pendle within a large fluid collection. The fluid volume is almost three times the size of the heart, and the filling of the heart is severely compromised due to the pressure exerted by the surrounding fluid. These findings are indicative of a large effusion with a high risk of tamponade.
PLAX
PLAX view showing pericardial effusion with hematoma and compromised right ventricular filling: PLAX view, taken from a patient after cardiac surgery with moderate hemodynamic instability, shows a pericardial effusion surrounding the heart. A grey mass is visible within the effusion, located between the liver and the right ventricle, representing a hematoma. The right ventricle shows reduced filling during diastole, indicating compromised function, and the findings urge prompt treatment to prevent further deterioration.



