The focused question
Are signs of pulmonary edema present or can pulmonary edema be excluded?
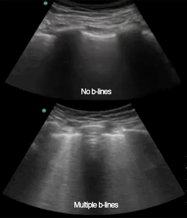
The following ultrasonographic signs are suggestive of pulmonary edema:
• Multiple B-lines (>2) between two costae in more than one view bilaterally
The following ultrasonographic signs rule out pulmonary edema:
• Absence of multiple B-lines between two costae in more than one view bilaterally

The focused question:
()
()
()

()
()

()
()
()


