- The focused questions:
- Are there signs of hypovolemia present ?
- How can ultrasound help assess the patient’s volume status?
- Tips
- If hypovolemia is suspected, a focused ultrasound examination can provide essential information. Combining different cardiac views and assessing the inferior vena cava (IVC), you can diagnose hypovolemia and guide volume resuscitation efforts. A reduced IVC diameter with significant collapse during inspiration is suggestive of hypovolemia, while a hyperdynamic left ventricle with a “kissing wall” appearance in systole indicates severely low volume.
- The goal of volume assessment is to determine whether the patient will benefit from additional volume administration, vasopressor support, or, in some cases, volume removal. IVC and left ventricular assessments can help balance intravascular volume, reducing the risk of either overload or depletion.
- Below is a collection of ultrasound clips showing signs of hypovolemia:
- These clips demonstrate the typical ultrasound findings in patients with hypovolemia, including a reduced IVC diameter with significant inspiratory collapse and a hyperdynamic left ventricle with a low volume in both diastole and systole. The “kissing walls” phenomenon of the left ventricle is also highlighted, indicating severe hypovolemia.
IVC
IVC with small diameter and total collapse during inspiration: In this sagittal view, just to the right of the midline, the right ventricle is seen on the right side of the clip, and the inferior vena cava (IVC) is visible below the liver in its longitudinal view. The IVC has a small diameter, measuring less than 1 cm, and shows complete collapse during inspiration, which is a strong indicator of hypovolemia.
IVC
Another example of IVC with small diameter and partial collapse during inspiration: Again, the right ventricle is seen on the right side of the clip, and the inferior vena cava (IVC) is visible below the liver in its longitudinal view. The IVC has a small diameter and shows partial collapse during inspiration, indicating hypovolemia. While the collapse is not as pronounced as in the first IVC clip, this is another example of an IVC suggestive of reduced intravascular volume.
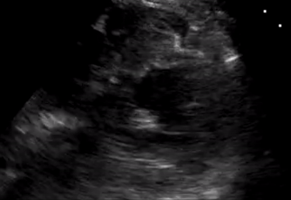
PSAX
PSAX view showing hyperdynamic left ventricle with reduced diastolic and systolic volumes: PSAX view shows a left ventricle that contracts efficiently, indicating that the heart is working hard. However, the diastolic volume is reduced, with a smaller left ventricular diameter during diastole. During systole, nearly all of the volume is ejected, leaving a significantly reduced end-systolic diameter. These findings are consistent with hypovolemia, where the heart is compensating for low blood volume by increasing contractility.
PSAX
.gif)
PSAX view showing severe hypovolemia with “kissing walls” phenomenon: In this PSAX view, the left ventricle appears nearly empty during systole, with the ventricular walls coming close together, demonstrating the “kissing walls” phenomenon. This finding reflects a more severe level of hypovolemia compared to the previous clip, with the heart working hard but with very little volume to pump, resulting in a significantly reduced end-systolic volume.
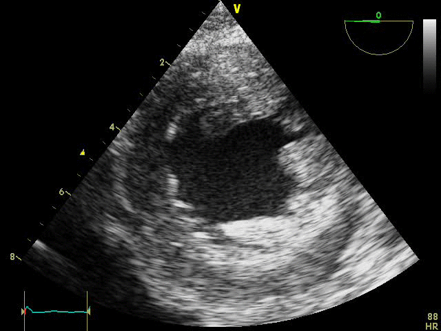
PSAX
TEE PSAX view of left ventricle with hypertrophy and hypovolemia: This transesophageal echocardiography (TEE) parasternal short-axis (PSAX) view shows a left ventricle with hypertrophy and signs of hypovolemia. The small diastolic volume, combined with the strong, effective contractions of the thickened heart muscle, highlights the heart’s effort to compensate for low blood volume. These findings are characteristic of hypovolemia in a hypertrophied left ventricle.
SC
SC view showing all four chambers with reduced ventricular volumes: This SC view displays all four chambers of the heart, with both the right and left ventricles showing reduced volumes during both diastole and systole. The clip also demonstrates a high heart rate, likely due to atrial fibrillation, which further compromises the hemodynamics by reducing the effectiveness of ventricular filling and output. These findings are consistent with hypovolemia, where both the reduced blood volume and irregular rhythm negatively impact circulation.
