- The focused questions:
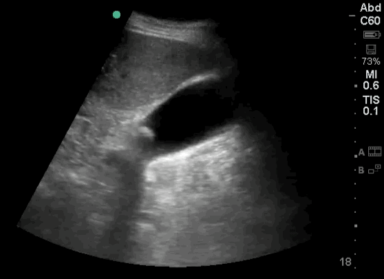
- Is free fluid present around the liver ?
- Is free fluid present at the free edge of the liver ?
()

Reminder: Ensure to ‘sweep’ / tilt the transducer around the kidney to thoroughly assess the potential space between the liver and kidney for complete evaluation.
()
()
()
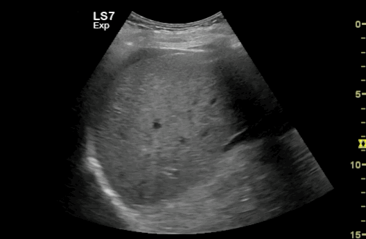
Free fluid Above the Liver, Beneath the Diaphragm
()

()
()
()
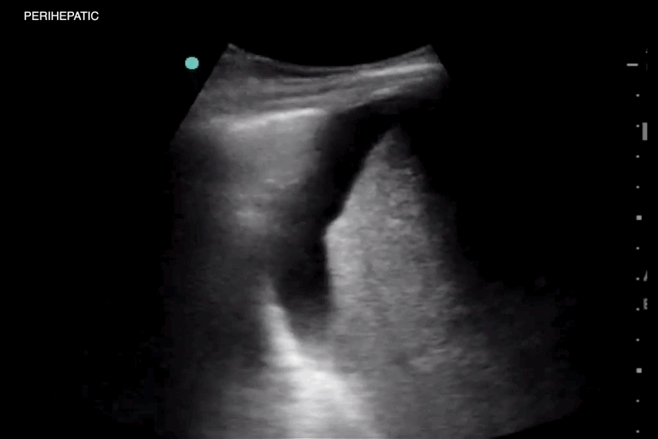
Pitfall – Gall stone