- The focused questions:
- Is free fluid present between the intestines loops
()
()
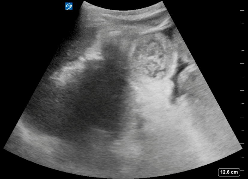
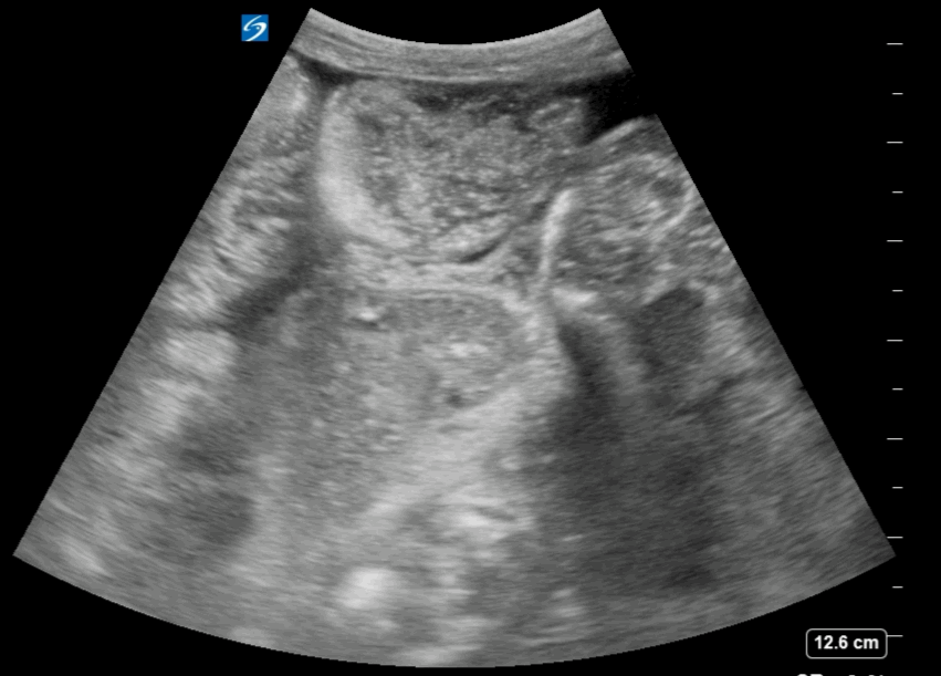
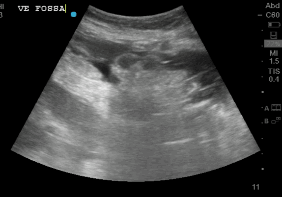
The video clip shows a small rim of free fluid along the liver edge with extensive free fluid noted amongst the intestinal loops
()
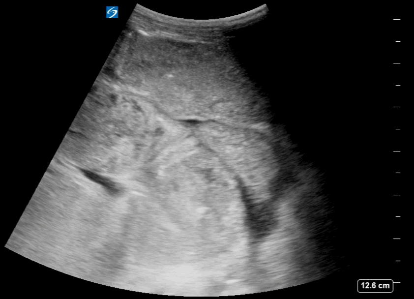
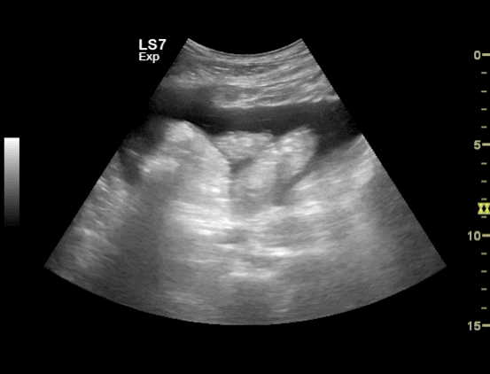
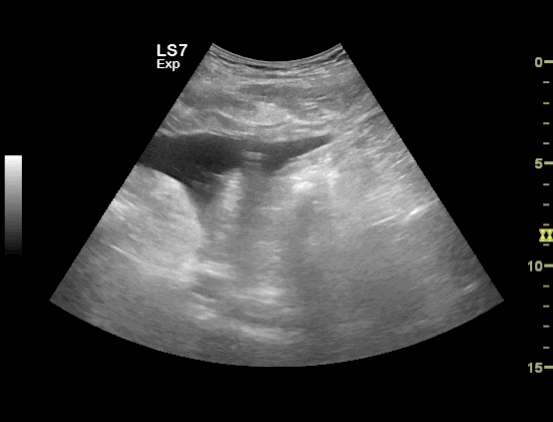
Free Fluid Around the Intestinal loops
()
Free Fluid Around the Intestinal loops
()
Free Fluid Around the Intestinal loops
()
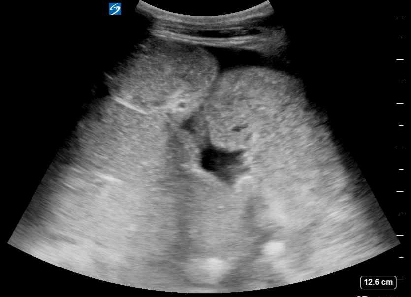
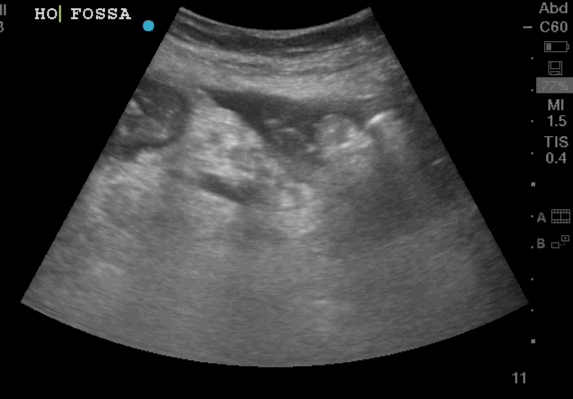
Free Fluid in between the Intestinal loops
()
Free Fluid in between the Intestinal loops
()
Free Fluid in between the Intestinal loops
()
Free Fluid in between the Intestinal loops




