- The focused questions:
- Is free fluid present around the and above the Bladder ?
- The ultrasound clips below provide examples of examinations with and without free fluid in relation to the bladder. The views are obtained from the lower part of the abdomen, just above the symphysis pubis. Both longitudinal and transverse views are used to assess the presence of free fluid, which, if present, appears above or cranial to the bladder. Intraperitoneal fluid appears as black hypoechoic or anechoic areas surrounding the bladder and intestines. A full bladder improves visualization, serving as a helpful reference for evaluating free fluid in the peritoneum.
Bladder_longitudinal

Normal longitudinal view of female pelvis: This longitudinal view shows the normal anatomy of the female pelvis. The bladder (B) is visible, along with the uterus (U) and rectum (RU). This image serves as a reference for identifying these key structures in relation to each other in the longitudinal plane.
Bladder_longitudinal

Normal longitudinal view of male pelvis: This longitudinal view shows the normal anatomy of the male pelvis. The bladder (B) is visible, along with the rectum (RU). This image provides a reference for identifying these structures in the male pelvis in the longitudinal plane.
Bladder_longitudinal
Longitudinal view of the bladder without free fluid in the abdomen: This longitudinal view shows a full bladder on the right side of the image, with no evidence of free fluid in the abdomen. On the left and below the bladder, the normal pattern of intraabdominal contents, including intestines, can be seen, confirming the absence of free fluid in this region. The small round hypoechoic structure seen at the top is content inside a gut.
Bladder_longitudinal
Longitudinal view with empty bladder and small amount of free fluid in the abdomen: This longitudinal view shows an empty bladder with a small amount of free fluid in the abdomen. The free fluid is visible in the upper part of the image, just below the anterior abdominal wall. Since the bladder is empty, the fluid is primarily seen above the bladder in this view.
Bladder_longitudinal
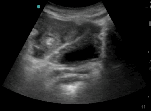
Longitudinal view with nearly empty bladder and free fluid in the peritoneum: This longitudinal view shows an almost empty bladder lying below the peritoneum. Free fluid is visible above the bladder, within the peritoneum, appearing as black anechoic fluid between the intestines. Since the bladder is nearly empty and not protruding into the abdomen, no fluid is seen below the bladder, highlighting that free fluid in the abdomen cannot be detected below the bladder when it is empty or nearly empty.
Bladder_longitudinal
Longitudinal view with empty bladder and small amount of free fluid between the intestines: This longitudinal view shows an empty bladder with a small amount of free fluid in the abdomen. The fluid is primarily seen between the intestines, rather than just below the anterior abdominal wall. Since the bladder is empty, the free fluid is located above and around the intestines in this view.
Bladder_transverse
Transverse view of the bladder showing free fluid in the abdomen: This transverse view of the bladder, demonstrates free fluid in the abdomen. The transducer is swept from the bottom to the top of the bladder, with the bladder appearing on the right side of the clip, and the free fluid seen above and on the right side of the image. The fluid surrounds the intestines. However, it can be challenging to evaluate what is being seen and to understand which part of the abdomen is being viewed, as the anatomy in the transverse plane can be difficult to interpret.
Bladder_longitudinal
Longitudinal view with full bladder and free fluid in the peritoneum: This longitudinal view shows a full bladder in a male patient. Free fluid is visible above the bladder, within the peritoneum, appearing as black anechoic fluid between the intestines. The presence of free fluid in the peritoneum is clearly identifiable due to the bladder’s distension, allowing better visualization of the fluid above it.
Bladder_transverse
Transverse view of the bladder showing free fluid in the abdomen: This transverse view of the bladder, taken from a female patient, demonstrates free fluid in the abdomen. The transducer is swept from the bottom to the top of the bladder, revealing free fluid in front of the bladder and in the pouch of Douglas when the transducer is positioned at the top of the bladder. It is important to note that this view can be challenging to examine and evaluate, as the anatomy in the transverse plane can be difficult to interpret, especially when identifying free fluid.

