- The focused questions:
- Can cardiac arrest be confirmed or excluded using ultrasound ?
- What are the key ultrasound findings that help guide resuscitation efforts?
- Tips
- In patients with suspected cardiac arrest, performing a focused cardiac ultrasound can provide critical insights. Combining different cardiac views (subcostal, parasternal, apical), you can identify reversible causes, assess for mechanical activity, and guide the next steps in resuscitation.
Below is a collection of ultrasound clips from patients with cardiac arrest:
These clips highlight a “still standing” heart, with only slight movements in the heart musculature. The subtle ventricular motion observed in these clips can be crucial for determining whether there is any meaningful cardiac activity or potential reversible causes, particularly while CPR is resumed.
In these cases, subcostal (SC) and parasternal long-axis (PLAX) windows are commonly used. The SC view allows the operator to assess the heart without interference from chest compressions or defibrillator pads, while the PLAX view provides an excellent perspective for evaluating cardiac activity, although it can be challenging to obtain during active compressions.
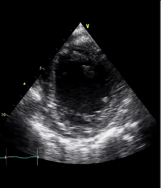
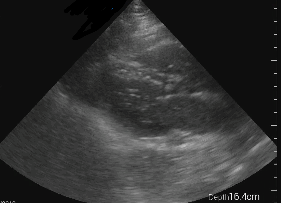
SC view
SC view with cardiac standstill: complete cardiac standstill is observed. No movement is seen in the heart musculature or valves, indicating the absence of cardiac activity. This finding is consistent with cardiac arrest and signals a poor prognosis unless reversible causes are quickly identified and addressed.
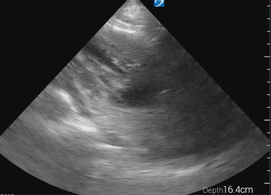
PLAX view
This PLAX view shows cardiac standstill, with no activity seen in the heart musculature or valves. The slight movement visible in the clip is due to patient ventilation, not cardiac activity. Small air bubbles are seen circulating within the right ventricle, confirming that there is no blood flow through the heart, further indicating the absence of effective cardiac output during the arrest.
PSAX view
In this PSAX view, no muscular activity is seen in the heart. The absence of contraction in the ventricular walls confirms a state of cardiac standstill. This view emphasizes the lack of cardiac output, supporting the diagnosis of cardiac arrest.
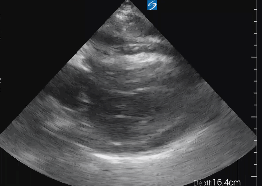
PLAX view
PLAX view with an empty heart and standstill: PLAX view shows an empty heart with cardiac standstill. There is only minimal, discrete movement of the heart musculature and mitral valve, indicating severely diminished or absent cardiac activity. These subtle movements do not represent effective cardiac output, further highlighting the critical condition of the patient.
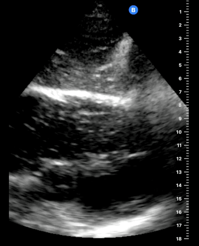
PLAX view
PLAX view of an empty left ventricle with severe hypertrophy: In this PLAX view, the left ventricle appears empty and shows severe hypertrophy. There is some muscular activity visible, suggesting continued cardiac effort, which supports ongoing resuscitation and addressing the potential hypovolemic state. Additionally, a small rim of pericardial effusion is noted, which should be carefully evaluated to determine if emergency drainage is required.
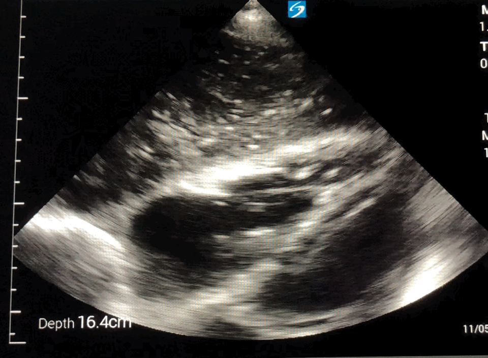
SC view
SC view of an empty left ventricle with severe hypertrophy: SC view from the same patient confirms the findings seen in the PLAX view. The left ventricle appears empty with severe hypertrophy, and muscular activity is present, indicating ongoing resuscitation efforts and the need to address the hypovolemic state. The small rim of pericardial effusion is also visible in this view, reinforcing the need for evaluation to determine if emergency drainage is warranted.
