<<— Back to overview
EEU CASE 10 – TA Massive bleeding
CASE Description: “40-year-old male car-driver. Hit lamp post with 100 km/h. Car badly damaged. He is awake, decreased awareness, GCS 10
RF: 40, sat. 86, Heart rate (HR) 110/min, BP 70/40″
Press here for Findings
Lung: PTX left
Heart: SC: Pericardial Effusion, other cardiac views: Bad image
Abdomen: Free fluid in RUQ, LUQ, Pelvic views
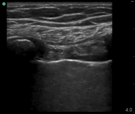
01_Lung_Ant_Right
Normal
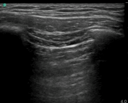
02_Lung_Ant_Left
PTX
03_Lung_Posterior_axillary_Right
Normal
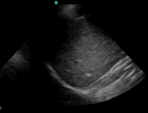
10_Heart_SC
Pericardiel effusion
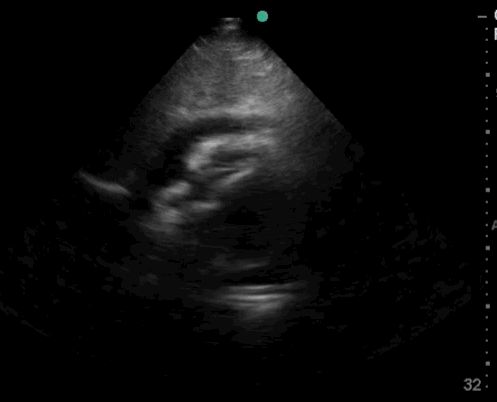
11_Heart_A4CH
Bad Image
12_Heart_PLAX
Bad Image
13_Heart_PSAX
Bad Image
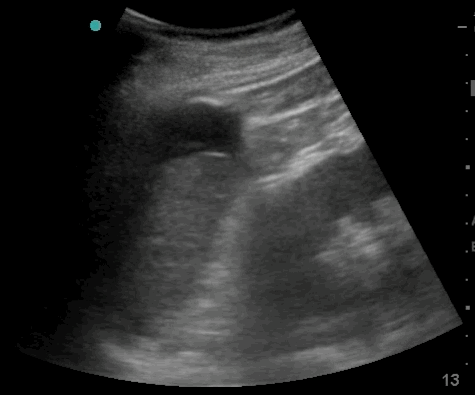
20_Abdomen_RUQ_Perihepatic
Free fluid – Hepatico-Diaphragmatic recess
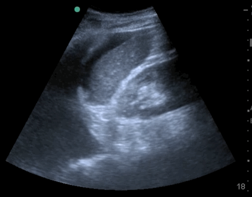
22_Abdomen_LUQ_Perisplenic
Free fluid between diaphragm and spleen. Further fluid is seen in the pleura.
22_Abdomen_LUQ_Perisplenic
Free fluid
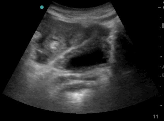
23_Abdomen_Pelvic_Sagittal
Free fluid is seen between the bowels, above the bladder
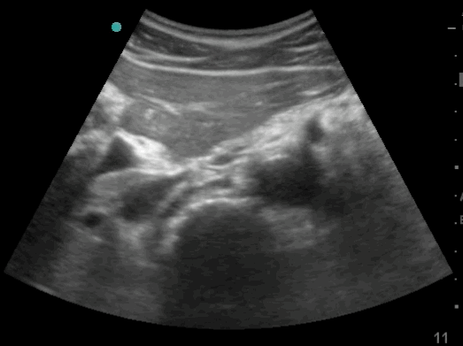
24_Abdomen_Pelvic_Transverse
Free fluid is seen between the bowels, in front of the bladder
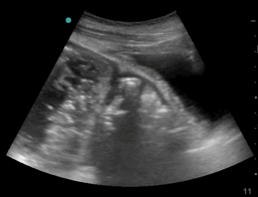
25_Abdomen_Aorta_Transverse
Normal
Findings:
Lung: PTX left
Heart: SC: Pericardial Effusion, other cardiac views: Bad image
Abdomen: Free fluid in RUQ, LUQ, Pelvic views
01_Lung_Ant_Right – Normal
Normal
TEST – en række us clips kode fra FM
01_Lung_Ant_Right – Normal
Normal
02_Lung_Ant_Left – PTX
PTX
03_Lung_Posterior_axillary_Right – Normal
Normal
10_Heart_SC – Pericardiel effusion
Pericardiel effusion
11_Heart_A4CH – Bad Image
Bad Image
12_Heart_PLAX – Bad Image
Bad Image












