<<— Back to case overview
Case 01 – Postoperative dyspnoea
Case description: A patient who underwent a prolonged operation with substantial perioperative fluid administration is now experiencing an increasing respiratory rate, decreasing oxygen saturation (SPO2), and elevated oxygen demand in the postoperative period. He is awake with decreased awareness.
RF: 30, sat. 86, heart rate (HR) 110/min, BP 160/95″.
Press here for Findings
Lung: signs on pulmonary congestions (B-lines) all on both anterior, lateral and posterior lung fields
Heart: Heart compat
ible with congestive heart failure, with signs of reduced LV function
Heart: SC: Other cardiac views: Bad image
Abdomen: Normal – without free fluid
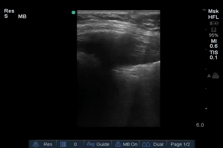
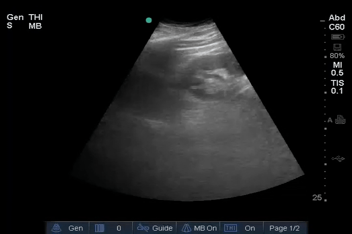
01_Lung_Ant_Right – B-lines
01_Lung_Ant_Right – B-lines
02_Lung_Ant_Left – B-lines
02_Lung_Ant_Left – B-lines
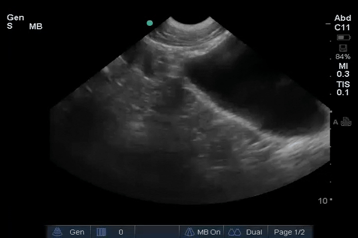
03_Lung_Posterior_axillary_Right – pleura effusion
03_Lung_Posterior_axillary_Right – pleura effusion
04_Lung_Posterior_axillary_Left – pleura effusion
04_Lung_Posterior_axillary_Left – pleura effusion
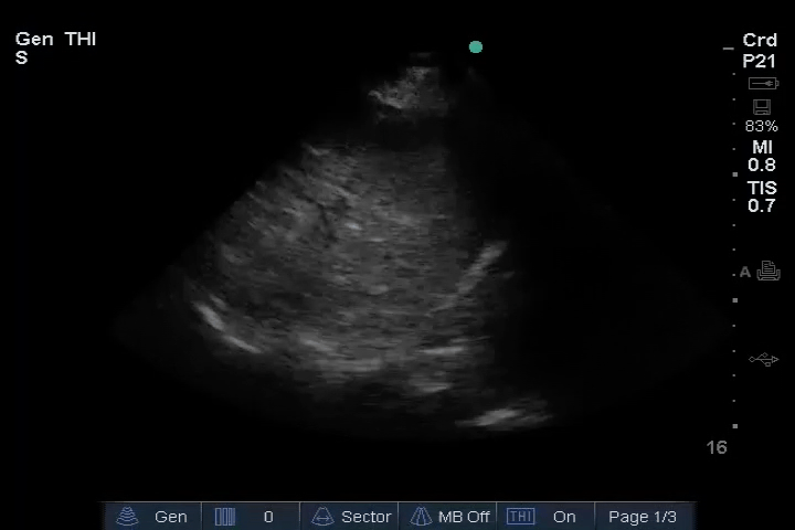
10_Heart_SC – LV reduced ejection fraction (EF)
10_Heart_SC – LV reduced ejection fraction (EF)
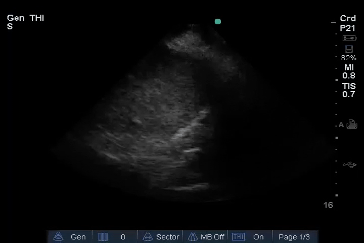
11_Heart_A4CH – LV reduced ejection fraction (EF)
11_Heart_A4CH – LV reduced ejection fraction (EF)
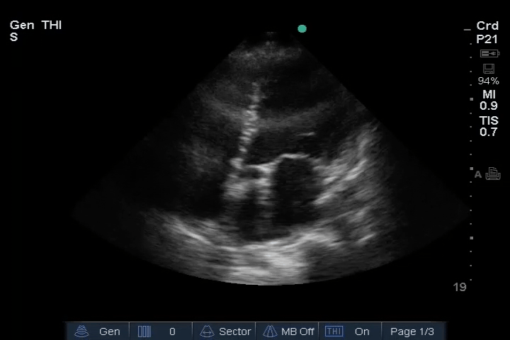
12_Heart_PLAX (normal)
12_Heart_PLAX (normal)
13_Heart_PSAX (normal)
13_Heart_PSAX (normal)
20_Abdomen_RUQ_Perihepatic (normal)
20_Abdomen_RUQ_Perihepatic (normal)
22_Abdomen_LUQ_Perisplenic (normal)
22_Abdomen_LUQ_Perisplenic (normal)
23_Abdomen_Pelvic_Sagittal (normal)
23_Abdomen_Pelvic_Sagittal (normal)
24_Abdomen_Pelvic_Transverse (normal)
24_Abdomen_Pelvic_Transverse (normal)
25_Abdomen_Aorta_Transverse (normal)
25_Abdomen_Aorta_Transverse (normal)












