<<— Back to case overview
Case 09 – Dyspnoea (Pulmonary embolus)
Case description: 68-year-old woman. Progressive dyspnea over weeks. Today sudden chest pain and worsening of dyspnea.
Resp.: 32, Sat: 88 %, HR: 120, BP: 110/50
ECG: SR, negative T-spikes in V1–V3
Press here for Findings
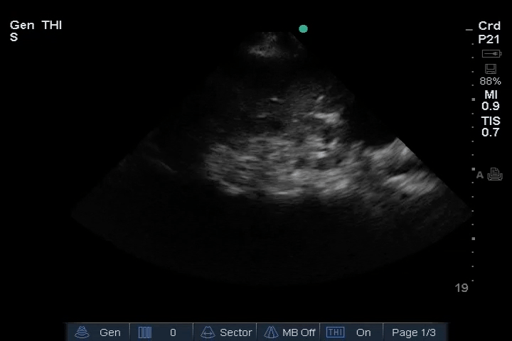
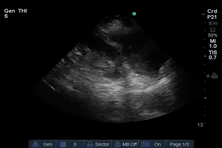
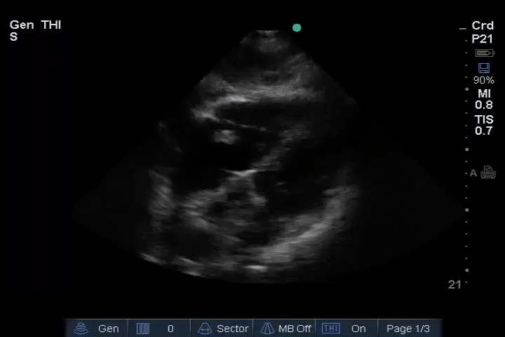
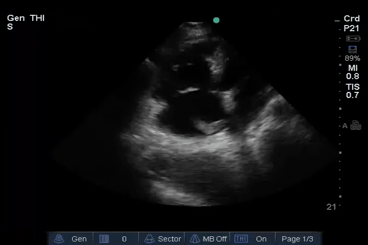
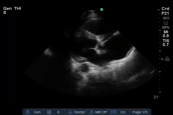
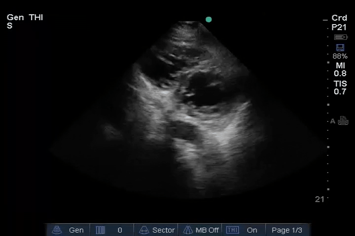
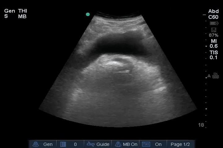
Heart: Dilated right ventricle (RV), most clearly visualized in the PSAX view. An embolus is visible in the right atrium (RA).
Lung: Normal appearance, no B-lines or pleural effusion.
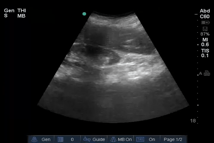
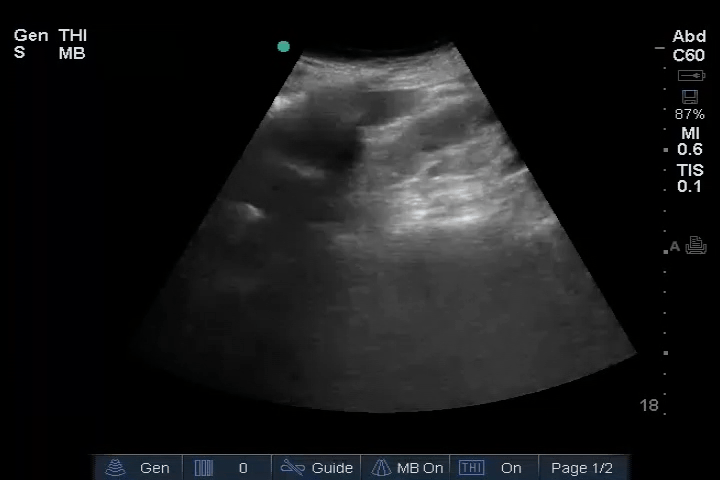
Abdomen: Normal – no free fluid.
01_Lung_Ant_Right – Normal
02_Lung_Ant_Left – Normal
03_Lung_Posterior_axillary_Right – Bad Image
04_Lung_Posterior_axillary_Left – Bad Image
10_Heart_SC – Dilated RV, RA embolus
11_Heart_A4CH – Dilated RV, RA embolus
12_Heart_PLAX – Dilated RV, RA embolus
13_Heart_PSAX – Dilated RV
20_Abdomen_RUQ_Perihepatic – Normal
22_Abdomen_LUQ_Perisplenic – Normal
23_Abdomen_Pelvic_Sagittal – Normal
24_Abdomen_Pelvic_Transverse – Normal
25_Abdomen_Aorta_Transverse – Normal












