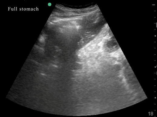
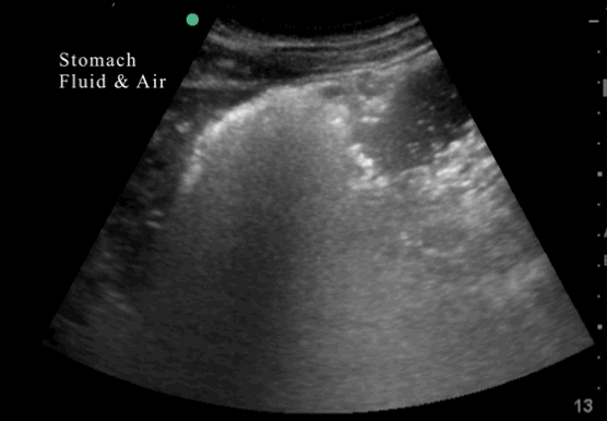
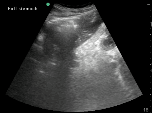
- The focused questions:
- Is the stomach empty or full ?
- If clear fluid is present in the stomach – calculating the volumen in the stomach
- Does the content in the stomach represent a risk for the patient ?
()
()
()
()
()
()
()
()
()
()

()
()
()
()






